Cialis este un tratament eficient pentru disfuncția erectilă, oferind rezultate rapide și de lungă durată. Pe http://mymed.ro/old/cialis.html găsești informații detaliate despre acest medicament, inclusiv doza recomandată și posibilele efecte secundare. Mulți bărbați aleg Cialis datorită acțiunii sale prelungite, care poate dura până la 36 de ore. Dacă vrei să afli mai multe despre beneficiile și modul de administrare, vizitează pagina noastră dedicată. Alege un tratament sigur și eficient, informându-te din surse de încredere!

Viagra este unul dintre cele mai cunoscute tratamente pentru disfuncția erectilă, oferind o soluție eficientă pentru bărbații care se confruntă cu această problemă. Pe http://mymed.ro/old/viagra.html poți găsi informații detaliate despre modul de administrare, doza optimă și efectele secundare ale acestui medicament. Mulți utilizatori apreciază Viagra pentru eficiența sa rapidă, care ajută la obținerea și menținerea erecției. Dacă vrei să afli mai multe despre acest tratament și cum te poate ajuta, vizitează pagina noastră dedicată. Informează-te corect și alege soluția potrivită pentru tine!

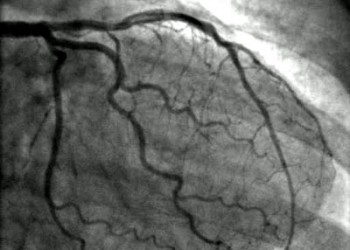
Angină pectorală cu coronarografie normală

O coronarografie normal? nu ne spune decât c? lumenul arterelor coronare epicardice este permeabil ?i c? exist? un flux coronarian bun. Nu putem infirma îns? coronaropatia doar pe baza aspectului normal al angiografiei coronariene.

În fapt, 20-30% dintre pacienții cu durere anginoasă supuși coronarografiei se vor dovedi a avea o boală coronariană non-obstructivă. Etiologia anginei cu coronare permeabile este reprezentată de:

1. afectare a coronarelor epicardice: disfuncție endotelială, spasm coronarian (angina variantă Prinzmetal), punți miocardice (cu compresie sistolică a coronarelor epicardice), insuficiența de flux coronarian (stenoză aortică, insuficiență aortică), cardiomiopatia indusă de stress (takotsubo sau sindromul inimii frânte).

2. disfuncție microvasculară: angină microvasculară (sindrom X coronarian), plăci coronariene nevinovate (care realizează stenoze modeste, nedetectabile angiografic, dar care sunt susceptibile la aterotromboză) – grupate sub denumirea de ateroscleroză ocultă, și o entitate mai nouă – sindromul Y coronarian (fenomenul de flux lent). Pentru identificarea plăcilor de aterom care se dezvoltă în peretele coronarian (dinspre intimă spre adventice) și nu în lumen trebuie efectuată ecografie intravasculară (IVUS, intravascular ultrasound); aceste plăci, deși au avantaj hemodinamic (prin aceea că nu reduc fluxul coronarian) sunt susceptibile la eroziune, fisură, ruptură sau hemoragie și pot genera un sindrom coronarian acut fie prin complicații trombotice fie prin embolizare distală de material aterogen. Disfuncția coronariană microvasculară poate fi și secundară hipertensiunii, unei cardiomiopatii, valvulopatii sau boli infiltrative (amiloidoză).

3. boală non-coronariană: gastrointestinală, pulmonară, musculoscheletală, anomalii de percepție dureroasă (sensitive heart).

Referințe:

Add comment


Security code
Refresh