Cialis este un tratament eficient pentru disfuncția erectilă, oferind rezultate rapide și de lungă durată. Pe http://mymed.ro/old/cialis.html găsești informații detaliate despre acest medicament, inclusiv doza recomandată și posibilele efecte secundare. Mulți bărbați aleg Cialis datorită acțiunii sale prelungite, care poate dura până la 36 de ore. Dacă vrei să afli mai multe despre beneficiile și modul de administrare, vizitează pagina noastră dedicată. Alege un tratament sigur și eficient, informându-te din surse de încredere!

Viagra este unul dintre cele mai cunoscute tratamente pentru disfuncția erectilă, oferind o soluție eficientă pentru bărbații care se confruntă cu această problemă. Pe http://mymed.ro/old/viagra.html poți găsi informații detaliate despre modul de administrare, doza optimă și efectele secundare ale acestui medicament. Mulți utilizatori apreciază Viagra pentru eficiența sa rapidă, care ajută la obținerea și menținerea erecției. Dacă vrei să afli mai multe despre acest tratament și cum te poate ajuta, vizitează pagina noastră dedicată. Informează-te corect și alege soluția potrivită pentru tine!

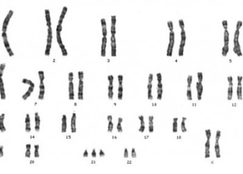
Genetica sindromului Down

Sindromul Down este o anomalie cromozomial? numeric? caracterizat? prin prezen?a unui cromozom 21 suplimentar.

Noțiuni de genetică

Cromozomii reprezintă suportul informaţiei genetice carcteristice fiecărui individ. Celulele umane au 46 cromozomi, organizaţi în 23 perechi. Dintre cei 23 cromozomi pereche, primii 22 sunt asemănători pentru ambele sexe (fiind denumiţi autozomi), iar cea de-a 23-a pereche (cromozomii sexuali) este corespunzătoare sexului: XX pentru sexul feminin şi XY pentru sexul masculin. Fiecare dintre cei 2 cromozomi dintr-o pereche poartă aceeaşi informaţie genetică, în sensul că aceleaşi gene se află în aceleaşi locaţii pentru oricare dintre cei 2 cromozomi. Pot exista însă variaţii ale genelor (alele) care să codifice trăsături fenotipice diferite: spre exemplu informaţia genetică pentru culoarea ochilor se află „codată” la nivelul unei gene; variantele de verde, albastru, căprui sunt alele ale genei respective.

Celulele umane se divid în 2 modalităţi: prin mitoză – care constă în dividerea celulei mamă în 2 celule fiice care au exact acelaşi număr şi acelaşi tip de cromozomi, sau prin meioză – care are loc la nivelul ovarelor şi testiculelor şi presupune dividerea unei celule mamă în 2 celule fiice care au fiecare câte jumătate din numărul de cromozomi ai celulei mamă. Astfel, ovulele şi spermatozoizii vor avea fiecare doar câte 23 cromozomi. Celulele somatice sunt celule diploide (au un set complet de 46 cromozomi), pe când celulele sexuale sunt haploide (au un set de 23 cromozomi).

Determinarea numărului şi tipului de cromozomi pe baza unor probe sangvine sau unor fragmente de piele se numeşte cariotipare, şi este o metodă eficientă şi exactă de stabilire a anomaliilor cromozomiale.

De ce apare sindromul Down

Există 3 mecanisme de apariţie a sindromului Down:

1. nondisjuncţia perechii de cromozomi 21 – trisomie omogenă (responsabilă de apariţia a 95% din cazuri): în timpul meiozei, fiecare pereche de cromozomi se separă în două şi se distribuie celor 2 celule fiice rezultate în urma diviziunii (evenimentul se numeşte disjuncţie). Există situaţia în care una dintre perechile de cromozomi nu se separă (nondisjuncţie) şi în locul unui singur cromozom, celula sexuală rezultată va avea tot o pereche, ca şi celula somatică. Astfel, există posibilitatea în timpul diviziunii meiotice perechea 21 de cromozomi să nu se separe iar celulele sexuale să aibă 24 cromozomi (22 autozomi, 1 cromozom sexual şi 1 cromozom 21 suplimentar). Un astfel de eveniment apare aleator în ciclul celular, nu este în niciun fel corelat cu ereditatea şi apare mai frecvent în ovule (90% din cazuri) decât în spermatozoizi. În momentul fertilizării, fuziunea între ovulul cu 24 cromozomi (câte 1 copie din fiecare autozom, 1 cromozom sexual – X şi 1 copie suplimentară de cromozom 21) şi spermatozoidul (câte 1 copie din fiecare autozom, 1 cromozom sexual – X/Y) va da naştere la celule embrionare cu 47 cromozomi (câte 2 copii din fiecare autozom, 2 cromozomi sexuali – XX sau XY şi 1 cromozom 21 suplimentar). Harta genetică a viitorului copil va cuprinde 3 cromozomi 21 şi un număr total de 47 cromozomi – situaţia purtând numele de trisomie 21 (47 XX sau 47 XY). Cauza nondisjuncţiei nu este cunoscută, dar este cu siguranţă corelată cu vârsta maternă.

2. translocaţie robertsoniană (3-4% din cazuri): translocaţia reprezintă procesul prin care fragmente dintr-un cromozom se desprind şi se alipesc la un alt cromozom. În cazul translocaţiei robertsoniene 2 cromozomi se lipesc cap la cap şi formează un cromozom gigant, astfel încât deşi există 3 copii ale aceluiaşi cromozom în celulă  (cromozomul gigant fiind alcătuit de fapt din 2 cromozomi), numărul total de cromzomi este păstrat. Acest tip de translocaţie apare de obicei între cromozomii acrocentrici (13, 14, 15, 21, 22). Există situaţia în care unul dintre părinţi este purtător al unei translocaţii balansate (există 2 linii de fragmentare la nivelul a 2 cromozomi diferiţi – spre exemplu 21 şi 14 – iar fragmentele sunt alipite încrucişat între cei 2 cromzomi fragmentaţi, dar nu există material genetic în plus sau în minus) – situaţie în părintele purtător al mutaţiei nu are manifestă boala – dar are un risc crescut de a avea un copil cu sindrom Down. În astfel de cazuri în care există un individ cu sindrom Down prin translocaţie, trebuie determinat cariotipul atât la părinţi, cât şi la fraţii/surorile acestuia.

3. mozaicism (1% din cazuri): nondisjuncţia apare în timpul dezvoltării embrionare astfel încât o parte dintre celule vor avea material genetic normal (23 cromozomi materni + 23 cromozomi paterni), iar altele anormal (47 cromozomi). Mozaicismul poate fi celular (există o mixtură de celule de acelaşi tip) sau tisular (există o mixtură între diferitele seturi celulare: spre exemplu celulele sangvine pot avea număr normal de cromozomi iar celulele epiteliale pot avea trisomie 21). Mozaicismul apare în special la nivelul gametogenezei masculine. Nu este corelat cu ereditatea.

Genele implicate în patogenia sindromului Down

Cromozomul 21 conţine cel mai mic număr de gene dintre toţi cromozomii, aproximativ 200-250 gene. Cercetătorii au descoperit că este necesară triplicarea doar a unei porţiuni din cromozomul 21 pentru apariţia sindromului Down – această regiune critică a sindromului Down nu este neaparat una continuă, ci mai degrabă o asociere de locaţii izolate. Prezenţa unei copii suplimentare (sau doar a unui fragment suplimentar) de cromozom 21 duce la supraexprimare genelor conţinute şi la apariţia manifestărilor caracteristice sindromului.

Genele presupuse a fi implicate în patogenia sindromului Down sunt:

  • superoxid dismutaza (SOD1): supraexpresia ei poate cauza îmbătrânire prematură şi scăderea funcţiei sistemului imun. Există studii care analizează implicarea ei în demenţa senilă din boala Alzheimer.
  • COL6A1: supraexpresia ei poate fi cauza defectelor structurale cardiace.
  • ETS2: supraexpresia este considerată responsabilă de apariţia anomaliilor scheletice.
  • CAF1A: supraexpresia determină anomalii în sinteza ADN.
  • CBS (cystathione beta synthase): supraexpresia poate cauza tulburări în metabolism şi în repararea ADN-ului
  • DYRK: supraexpresia poate fi cauza retardului mental
  • CRYA1: supraexpresia poate duce la cataractă
  • GART: supraexpresia poate interfera cu sinteza şi repararea ADN-ului
  • IFNAR: este gena care codifică sinteza interferonului. Supraexpresia poate interfera cu sistemul imun.
  • alte gene: APP, GLUR5, S100B, TAM, PFKL.

Manifestările clinice ale pacienţilor cu sindrom Down sunt foarte variate atât datorită diferenţei între genele aflate în triplă copie (dezvoltarea fizică şi intelectuală variază, anomaliile cardiace structurale, distiroidiile sau boala celiacă pot fi sau nu prezente), cât şi datorită penetranţei variate a alelelor.

Factori de risc

De-a lungul timpului cercetătorii au pus în evidenţă mai mulţi factori asociaţi cu riscul de dezvoltare a sindromului Down. Unul dintre ei este vârsta mamei (calculator online pentru riscul de sindrom Down). Geneticienii au descoperit însă că şi vârsta înaintată a tatălui creşte riscul de a avea un copil cu sindrom Down. Astfel, cercetătorii au descoperit că riscul de sindrom Down este dublu la un tată peste 40 ani care are un copil cu o femeie peste 35 ani, faţă de un tată sub 24 ani care are un copil cu o femeie peste 35 ani. În cazul femeilor sub 35 ani, vârsta tatălui nu este corelată cu riscul unui sarcini cu sindrom Down. Pentru femeile peste 40 ani, o creştere cu 50% a riscului de a avea un copil cu sindrom Down este cauzată de vârsta înaintată a tatălui. Vârsta maternă şi cea paternă sunt considerate astăzi cei mai importanţi factori de risc pentru sindromul Down.

Numărul de copii pe care o femeie îi naşte este de asemenea considerat ca factor de risc pentru sindromul Down (ca şi pentru alte trisomii şi alte anomalii cromozomiale). Astfel, începând cu al 5-lea copil, riscul ca aceasta să aibă o trisomie (trisomia 21 = sindrom Down, trisomia 13 = sindrom Patau sau trisomia 18 = sindrom Edward) este uşor crescut.

În cazul trisomiei omogene și mozaicismului riscul nu este recurent pentru părinții care au deja un copil cu sindrom Down, însă se menține riscul de trisomie prin translocație (risc de recurență de 10-15% dacă unul dintre părinți este purtătorul unei translocații robertsoniene și de 100% în cazul unei translocații balansate care implică ambii cromozomi 21).

În ceea ce priveşte factorii externi, fumatul şi utilizarea contraceptivelor orale au fost dovedite a creşte riscul de a naşte un copil cu sindrom Down.

Diagnosticul prenatal

Un diagnostic de certitudine pentru anomaliile cromozomiale (inclusiv sindromul Down) se pune prin analizarea celulelor fetale pe baza probelor recoltate prin amniocenteză sau biopsie de vilozităţi coriale. Acestea sunt însă metode invazive şi nu se pot practica de rutină la fiecare sarcină, de aceea se practică screeningul prin triplul test de sarcină sau cvadriplul test de sarcină.

Triplul test de sarcină presupune dozarea sangvină a α –fetoproteinei (AFP), estriolului şi gonadotrofinei corionice umane – hCG. În funcţie de rezultatele acestor teste, pentru sarcinile cu „risc înalt” se pot efectua şi investigaţii mai invazive. Testele de screening au dezavantajul că pot da atât rezultate fals negative, cât şi rezultate fals pozitive. Ele au doar valoare estimativă şi prognostică. Triplul test de sarcină este o metodă de screening pentru anomaliile genetice fetale şi constă în măsurarea concentraţiei alfa-fetoproteinei (AFP), a estriolului neconjugat (uE3) şi a gonadotrofinei corionice umane (hCG) în sângele matern. Screeningul cvadriplu presupune şi dozarea inhibinei A. Toate aceste determinări se fac între săptămânile 15 şi 18 de gestaţie. Recent, un alt marker, PAPP-A s-a dovedit a fi util şi are avantajul de a putea fi dozat mai precoce.

  • AFP (alfa-fetoproteina): este sintetizată la nivelul ficatului fetal şi la nivelul membranei viteline; o mică parte ajunge în sângele matern. În defectele de tub neural (anencefalie, spina bifida), pielea fătului nefiind intactă, o cantitate mai mare de AFP ajunge în sângele matern. În sindromul Down, nivelul AFP este scăzut în sângele matern, probabil datorită dezvoltării insuficiente a membranei viteline şi a fătului.
  • estriolul: este un hormon produs de placentă, pe baza unor precursori din ficatul şi suprarenalale fătului. Estriolul are nivele scăzute în sarcina cu sindrom Down.
  • hCG (gonadotrofina corionică umană): este tot un hormon placentar, utilizat şi pentru confirmarea prezenţei sarcinii. Subunitatea beta este scăzută în cazul unui făt cu sindrom Down.
  • Inhibina A: este o proteină secretată de ovar şi care inhibă secreţia de FSH de către hipofiză. Nivelele de inhibină A sunt crescute în sângele mamelor care poartă un făt cu sindrom Down.
  • PAPP-A (pregnancy-associated plasma protein A – proteina A plasmatică asociată sarcinii): este o metaloproteină secretată la nivelul membranei externe a zigotului. Nivelele scăzute ale PAPP-A în primul trimestru de sarcină au valoare orientativă pentru sindromul Down.

Valorile acestor markeri serici trebuie întotdeauna corelate cu vârsta fătului. În mod normal, nivelele de AFP şi estriol cresc pe măsura creşterii sarcinii, iar cele de hCG scad. Rezultatele triplului test sunt doar orientative, ele fiind baza pe care se poate stabili indicaţia unei investigaţii invazive – biopsie de vilozităţi coriale sau amniocenteză. Screeningul prenatal pentru sindromul Down mai cuprinde şi translucenţa nucală, ecografia piramidei nazale (recomandate între săptămânile 11-14 de gestaţie) şi alţi markeri ecografici, care pot creşte acurateţea diagnosticului până la 97%.

Interpretarea rezultatelor triplului test – În cazul unor rezultate normale ale triplului test de screening, riscul de a avea un copil cu sindrom Down scade de 4 ori (spre exemplu pentru o femeie de 25 ani, riscul scade de la 1:1100 la 1:4400, la o femeie de 35 ani de la 1:250 la 1:1000, iar la o femeie de 45 ani de la 1:20 la 1:80). Invers, în cazul unor rezultate anormale care orientează către o sarcină cu sindrom Down, riscul creşte de 4 ori (spre exemplu, pentru o femeie de 25 ani, riscul creşte de la 1:1100 la 1:275, pentru o femeie de 35 ani de la 1:250 la 1:62, iar pentru o femeie de 45 ani de la 1:20 la 1:5). Triplul test de screening identifică aproximativ 60-70% (la femeile până în 35 ani, respectiv peste 35 ani) dintre sarcinile cu sindrom Down, iar cvadruplul test aproximativ 80%. Cvadruplul test (care este mai fidel decât triplul test) poate oferi între 5-8% rezultate fals pozitive (în sensul că deşi rezultatul este pozitiv pentru sindrom Down, în realitate fătul este sănătos) şi 30-40% rezultate fals negative (testul este negativ pentru sindrom Down, dar în realitate fătul are această boală). În funcţie de rezultatele triplului test, sarcina este încadrată ca fiind cu „risc redus” (mai mic de 1:250) sau cu „risc înalt” (mai mare de 1:250), astfel încât să se poată stabili indicaţia pentru o procedură mai invazivă. Dacă riscul de a avea sindrom Down este sub 1:250, atunci riscul amniocentezei este mai mare şi nu se justifică practicarea acesteia, prin urmare sarcina va fi încadrată cu „risc redus”.

Amniocenteza este o procedură invazivă care constă în recoltarea unei probe de lichid amniotic din uterul matern, prin inserarea unui ac lung prin peretele abdominal, sub ghidaj ecografic. Se prelevează circa 30 ml de lichid amniotic. Lichidul amniotic conţine celule fetale şi permite analiza cromozomilor fetali. Rezultatele sunt disponibile în aproximativ 2 săptămâni. Procedura se efectuează între săptămânile 14 şi 16 de sarcină. Efectele adverse materne constau în crampe abdominale, hemoragie, infecţie sau scurgere de lichid amniotic (care poate declanşa contracţii uterine premature). Amniocenteza creşte riscul de pierdere a sarcinii de la 2-3%  (cât este normal la această vârstă gestaţională) la 2,5-4%. Nu este recomandată înainte de 14 săptrămâni de gestaţie. Riscul de avort spontan în urma amniocentezei este de 1:250. Indicaţia de amniocenteză se adresează mamelor peste 35 ani care au rezultate anormale la triplul/cvadruplul test de screening, în cazul părinţilor cu boli genetice sau care au avut copii cu boli genetice.

Biopsia de vilozităţi coriale (CVS – chorionic villus sampling) este tot o procedură invazivă care presupune prelevarea unui fragment din vilozităţile coriale şi care poate fi efectuată începând cu săptămânile 8-11 de gestaţie. Se poate efectua atât prin inserarea unui ac prin peretele abdominal (similar amniocentezei) sau prin introducerea transvafinală a unui cateter în uter. Riscul de avort spontan după procedură este de 1:100. Biopsia de vilozităţi coriale creşte riscul de pierdere a sarcinii de la 2-3% până la 5%. Se recomandă femeilor peste 35 ani cu teste de screening anomale, celor care au avut un avort spontan de cauză nedeterminată, precum şi în familiile cu istoric de boli genetice.

O altă procedură de testare genetică prenatală este recoltarea percutantă de sânge ombilical (PUBS – percutaneous umbilical blood sampling), care are cea mai mare acurateţe diagnostică dar şi cel mai ridicat risc de avort spontan. Se poate practica începând cu săptămânile 18-22 de sarcină.

Add comment


Security code
Refresh