Cialis este un tratament eficient pentru disfuncția erectilă, oferind rezultate rapide și de lungă durată. Pe http://mymed.ro/old/cialis.html găsești informații detaliate despre acest medicament, inclusiv doza recomandată și posibilele efecte secundare. Mulți bărbați aleg Cialis datorită acțiunii sale prelungite, care poate dura până la 36 de ore. Dacă vrei să afli mai multe despre beneficiile și modul de administrare, vizitează pagina noastră dedicată. Alege un tratament sigur și eficient, informându-te din surse de încredere!

Viagra este unul dintre cele mai cunoscute tratamente pentru disfuncția erectilă, oferind o soluție eficientă pentru bărbații care se confruntă cu această problemă. Pe http://mymed.ro/old/viagra.html poți găsi informații detaliate despre modul de administrare, doza optimă și efectele secundare ale acestui medicament. Mulți utilizatori apreciază Viagra pentru eficiența sa rapidă, care ajută la obținerea și menținerea erecției. Dacă vrei să afli mai multe despre acest tratament și cum te poate ajuta, vizitează pagina noastră dedicată. Informează-te corect și alege soluția potrivită pentru tine!

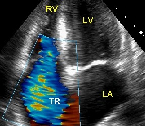
Insuficienţa tricuspidiană

Reprezint? închiderea incomplet? a orificiului tricuspidian în timpul sistolei, stuff sickness permi?ând refluarea sângelui din ventriculul drept în atriul drept.

ETIOLOGIE

Insuficienţa tricuspidiană poate fi congenitală (foarte rar) şi dobândită. Valvulopatia poate apare ca urmare a febrei reumatismale, endocarditei bacteriene sau sindromului carcinoid. Frecvent însă este secundară unei dilatări a ventriculului drept, care antrenează şi dilatarea inelului tricuspidian (insuficienţă tricuspidiană funcţională) – în cadrul stenozei mitrale, bronhopneumopatiilor cronice, tromboembolismului pulmonar, hipertensiunii arteriale pulmonare primitive. Regurgitarea tricuspidiană poate fi cauzată şi de un traumatism toracic.

Leziunea poate fi izolată sau se poate asocia cu stenoză tricuspidiană, valvulopatii mitrale sau aortice.

ANATOMOPATOLOGIE

În cazul valvulopatiei de cauză reumatismală, se pot constata retracţii, îngroşări şi sclerozări retractile la nivelul valvelor şi cordajelor tendinoase.

FIZIOPATOLOGIE

În timpul contracţiei ventriculului drept, sângele refluează în atriul drept, determinând o creşterea a presiunii în această cameră. Iniţial, prin mecanismele de compensare reprezentate de dilataţia şi hipertrofia atriului drept, debitul cardiac este menţinut la valori normale. Ulterior, se produce decompensarea, cu apariţia stazei venoase sistemice şi a semnelor clinice: turgescenţă jugulară, stază hepatică, edeme periferice, ascită. Unda de refluarea sistolică se transmite în sistemul venos producând pulsul sistolic jugular şi hepatic.

Reducerea debitului cardiac este dependentî de importanţa volumului de sânge regurgitat şi de starea miocardului ventricular drept.

MANIFESTARI CLINICE

> semne şi simptome de insuficienţă cardiacă dreaptă: fatigabilitate, anorexie, greţuri, edeme declive, cianoză periferică asociată cu subicter datorită stazei hepatice (tegumentele au o culoare vineţie-gălbuie sau măslinie, caracteristică), turgescenţă jugulară, reflux hepatojugular, ascită, hidrotorax, pulsaţii venoase sistolice (şi pulsaţie sistolică a ficatului)

> hepatomegalie de stază, cu ficat de consistenţă fermă, sensibil la palpare.

> semn Hartzer pozitiv (la nivelul apendicelui xifoid se poate palpa ventriculul drept hipertrofiat), şoc apexian deplasat în afară

> dispnee moderată (ortopneea lipseşte sau este redusă datorită faptului că prin staza venoasă sistemică capilarul pulmonar este protejat)

> semnele bolilor pulmonare primare (BPCO, astm bronşic, hipertensiune pulmonară primitivă, tromboembolism pulmonar)

La examenul cordului, auscultator se constată un suflu sistolic de regurgitare tricuspidiană, cu intensitatea maximă parasternal stâng, în spaţiile intercostale 4-5. Suflul este intens, uneori mai accentuat în protosistolă sau, mai rar, în mezo sau telesistolă. Poate iradia către apendicele xifoid, marginea dreaptă a sternului sau apex. Timbrul este asemănător unei „ţâşnituri de aburi”. Suflul se accentuează în inspir (manevra Rivero-Carvalho) sau în timpul manevrei Valsalva.

DIAGNOSTIC PARACLINIC

> examen radiologic: evidenţiază mărirea de volum a atriului si ventriculului drept prin bombarea marginii drepte a cordului (în incidenţă frontală şi oblic anterioară stângă). Radiografia de faţă mai poate arată dilataţia venelor cave.

> ECG: evidenţiază semne de hipertrofie a cavităţilor drepte – hipertrofie atrială dreaptă (P „pulmonar”, amplu, ascuţit în D II, D III şi bifazic în V1) şi hipertrofie ventriculară dreaptă (cu deviaţie axială dreaptă, criterii Sokolow-Lyon: RV1+SV5>10,5 mm, R/S>1 în precordialele drepte).

> angiocardiografie: arată mărirea de volum a atriului drept si a ventriculului drept.

> jugulograma: arată unde c şi v ample, corespunzătoare închiderii şi respectiv deschiderii tricuspidei.

> cateterismul cardiac: este o metodă invazivă prin care se pot măsura presiunile în cavităţie drepte.

Diagnosticul diferenţial se face cu insuficienţa mitrală (suflul iradiază axilar), stenoza aortică (suflul iradiază la baza gâtului), CMHO, defectul septal ventricular.

TRATAMENT

> medicamentos: evitarea eforturilor intense, regim desodat, diuretice, tonicardiace.

> chirurgical: protezare valvulară.

COMPLICATII

> fibrilaţie atrială

> trombembolism

> insuficienţă cardiacă dreaptă

Comments  

# daniel 2014-05-28 15:30
se poate trata numai medicamentos o insuficienta tricuspidiana de grad 2?
Reply | Reply with quote | Quote

Add comment


Security code
Refresh